Smile Gallery

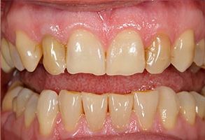
The image shows a close-up of a person s teeth with yellow staining, set against a blurred background.

Before

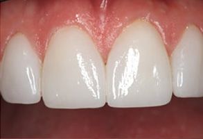
The image shows a close-up of a person s smile with white teeth and a pink tongue, set against the background of their lips.

After

Image of a close-up view of a person s mouth with teeth showing, featuring yellowing and staining.

Before

The image shows a close-up of a person s mouth with teeth that appear to be in need of dental care.

After

The image shows a close-up of a person s face with a focus on their teeth, which appear to be well-maintained and white. The individual has a beard and is smiling.

Before

The image shows a close-up of a person s teeth with a smile, set against the background of a blurred human face.

After

The image shows a close-up of a person s teeth, with the focus on a set of lower front teeth that appear to be in need of dental treatment, possibly for decay or alignment issues.

Before

White teeth in a close-up of an open mouth.

After

Dental implant with a visible pink gum line and a partial set of teeth.

Before

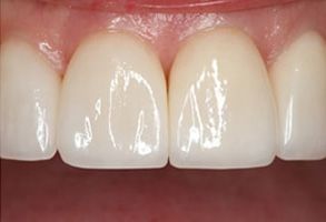
The image shows a close-up of a person s teeth, emphasizing the brightness and cleanliness of the smile.

After

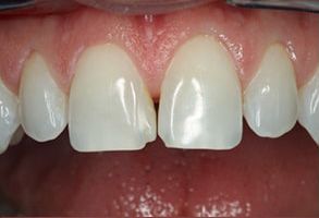
The image shows a close-up of a person s upper teeth with a focus on dental work, specifically a large filling or restoration that appears to be in the process of being replaced or repaired.

Before

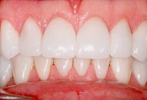
Image of a close-up view of a person s teeth, showcasing a bright smile with visible dental work.

After

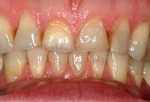
A close-up of a person s teeth with yellowing and discoloration, showcasing dental wear and staining.

Before

The image shows a close-up of a person s teeth, featuring a wide smile with white teeth and some visible wear or staining.

After